В Сургуте диагностировали редкую доброкачественную опухоль мозга у 12-летнего пациента
В Сургутской окружной клинической больнице зафиксирован уникальный медицинский случай — у 12-летнего мальчика диагностирована редкая доброкачественная опухоль мозга. Как сообщил директор департамента здравоохранения Югры Роман Паськов, у пациента выявлена ювенильная ксантогранулема.
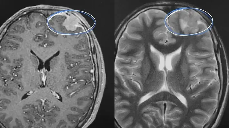
Пациент первоначально обратился в Сургутскую травматологическую больницу с жалобами на головные боли и эпизоды потери сознания. Проведенное магнитно-резонансное томографическое исследование показало наличие объемного образования размером до 3 сантиметров.
Для уточнения диагноза специалисты травмбольницы привлекли коллег из окружной клинической больницы. Совместно была проведена биопсия и последующее гистологическое исследование. "Микроскопическая картина показала типичные клетки для гистиоцитарных новообразований. Признаков злокачественности не было", — пояснила врач Валентина Видуто.
В настоящее время пациент переведен в Нижневартовск для дальнейшего наблюдения. По словам медиков, прогноз лечения благоприятный. Случай ювенильной ксантогранулемы представляет особый интерес для медицинского сообщества в связи с редкостью данной патологии.
Ранее мы сообщали, что врачи ХМАО провели уникальную операцию и предотвратили рак.
























